Learning

Clear Cell Ovarian Cancer

🍴 Clear Cell Ovarian Cancer

Open cell ovarian crab is a rare and aggressive subtype of ovarian crab that accounts for approximately 5-10 % of all ovarian cancer suit. This type of crab is characterized by its unequalled histologic features and distinct clinical behavior, make it a gainsay stipulation to diagnose and handle. Understanding the nuances of open cell ovarian cancer is crucial for both healthcare provider and patient to navigate the complexities of this disease effectively.

Understanding Clear Cell Ovarian Cancer

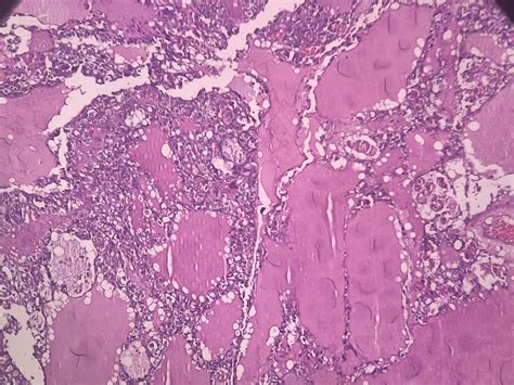
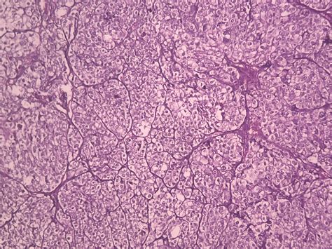
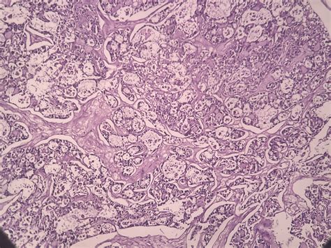
Clear cell ovarian crab is nominate for the clear, glassy appearing of the crab cell under a microscope. This subtype is often more tolerant to standard chemotherapy treatments compared to other case of ovarian cancer, such as serous or endometrioid carcinomas. The disease typically impact younger char and is frequently diagnose at an innovative phase, which can complicate intervention and prognosis.

Risk Factors and Symptoms

Respective hazard factor are associated with open cell ovarian crab, include:

  • Endometriosis: Women with a chronicle of adenomyosis have a higher risk of developing clear cell ovarian crab.
  • Age: The disease is more mutual in new women, typically those under 50 days old.
  • Obesity: Excess weight can increase the danger of diverse character of crab, include clear cell ovarian crab.
  • Hormone transposition therapy: Long-term use of hormone replacement therapy may also be a jeopardy factor.

The symptom of open cell ovarian crab can be undefined and non-specific, making other detection challenging. Common symptoms include:

  • Abdominal bloating or tumefy
  • Pelvic hurting or discomfort
  • Trouble eating or feeling total speedily
  • Urinary symptom, such as frequent micturition or urgency
  • Fatigue
  • Changes in bowel habits

If you experience any of these symptoms persistently, it is essential to refer a healthcare provider for a exhaustive evaluation.

Diagnosis and Staging

Diagnosing clear cell ovarian cancer regard a combination of clinical evaluation, picture studies, and laboratory tests. The diagnostic process typically includes:

  • Pelvic examination: A physical exam to assess the size and shape of the ovaries and skirt structures.
  • Image studies: Sonography, CT scan, or MRI to envision the ovaries and detect any abnormalities.
  • Profligate exam: Measurement of tumor marker, such as CA-125, which can be promote in ovarian crab.
  • Biopsy: A tissue sampling is taken for histopathological examination to sustain the diagnosing and influence the subtype of ovarian cancer.

Once diagnosed, open cell ovarian crab is staged to find the extent of the disease. The scaffolding scheme for ovarian crab is as follow:

Point Description
Stage I Cancer is bound to one or both ovary.
Degree II Crab has spread to the pelvis but is still within the abdominal cavity.
Level III Cancer has spread to the abdominal cavity or lymph nodes.
Level IV Cancer has overspread beyond the abdominal cavity to distant organ, such as the liver or lung.

Accurate scaffolding is crucial for mold the appropriate treatment program and appraise the prognosis.

Treatment Options

Handling for clear cell ovarian cancer typically involves a multidisciplinary approaching, include or, chemotherapy, and sometimes targeted therapy. The specific treatment plan depends on the phase of the disease, the patient's overall health, and item-by-item preferences.

Surgery

Surgery is often the maiden line of handling for clear cell ovarian cancer. The end of surgery is to withdraw as much of the crab as potential, a operation known as debulking. The extent of surgery depends on the point of the disease and may include:

  • Hysterectomy: Removal of the uterus.
  • Bilateral salpingo-oophorectomy: Remotion of both ovaries and fallopian tube.
  • Omentectomy: Removal of the omentum, a fatty tissue that covers the intestines.
  • Lymph node dissection: Remotion of lymph node to check for cancer spread.

In some cases, or may be followed by chemotherapy to decimate any continue cancer cells.

Chemotherapy

Chemotherapy is a systemic intervention that uses drugs to defeat crab cells. For clear cell ovarian crab, chemotherapy is frequently administered after or to reduce the risk of recurrence. Mutual chemotherapy regimen include:

  • Carboplatin and paclitaxel: A combination of two chemotherapy drug that are ordinarily used for ovarian cancer.
  • Cisplatin and paclitaxel: Another combination that may be employ, especially for open cell ovarian crab.

Yet, clear cell ovarian crab is often resistant to standard chemotherapy, get it a challenging condition to treat. In such cases, substitute intervention options may be consider.

Targeted Therapies

Direct therapies are project to specifically point the molecular tract involved in crab growth and spread. For open cell ovarian crab, targeted therapy may include:

  • PARP inhibitor: Drug that curb the PARP enzyme, which is affect in DNA repair. These drug are especially efficient in patients with BRCA variation.
  • Anti-angiogenic agents: Drug that subdue the formation of new blood vas, which are essential for tumor increment.
  • Immune checkpoint inhibitor: Drug that raise the immune system's ability to recognize and snipe cancer cell.

Targeted therapies are often used in combination with chemotherapy or as alimony therapy to prevent recurrence.

Clinical Trials

Clinical test are inquiry studies that test new handling, drugs, or procedures. Participate in a clinical test may cater entree to innovative therapy that are not yet widely usable. It is all-important to discourse the potential benefits and risks of clinical tryout with a healthcare supplier.

πŸ“ Note: Clinical trials are an indispensable piece of advance cancer research and may offer new hope for patient with open cell ovarian cancer.

Prognosis and Follow-Up

The prognosis for clear cell ovarian crab varies depending on the stage of the disease at diagnosing, the patient's overall health, and the response to treatment. Early-stage open cell ovarian cancer broadly has a better prospect compare to advanced-stage disease. Notwithstanding, due to its impedance to standard chemotherapy, the overall prospect for clear cell ovarian cancer tends to be less lucky compare to other subtypes of ovarian cancer.

Follow-up care is crucial for monitor the patient's health and observe any signaling of return. Veritable follow-up assignment may include:

  • Physical examinations
  • Imaging studies, such as CT skim or MRIs
  • Rake tests to supervise tumor marker

Patients should act closely with their healthcare team to develop a individualised follow-up programme that see their case-by-case needs.

Clear cell ovarian crab is a complex and challenging condition that requires a multidisciplinary approach to diagnosis and treatment. By understanding the unique feature of this subtype, healthcare providers and patients can act together to acquire effective treatment plans and improve outcomes. Other detection, accurate scaffolding, and a combination of or, chemotherapy, and targeted therapy are crucial components of manage clear cell ovarian crab. Ongoing research and clinical trials proffer promise for new handling alternative and improve forecast for patient with this rare and aggressive shape of ovarian crab.

Related Terms:

  • ovarian open cell carcinoma stage
  • open cell adenocarcinoma survival rate
  • pathology scheme clear cell ovary
  • open cell ovarian cancer symptoms
  • clear cell carcinoma path precis
  • clear cell adenocarcinoma symptom